Mikroskopische Blutanalytik
Hellfeld Blutdiagnostik
Die Leukozyten (weiße Blutkörperchen) sind die Abwehrzellen des Immunsystems. Je nach Zellart, haben sie unterschiedliche Aufgaben, wie zum Beispiel die Abwehr von Parasiten und Würmern, die Phagozytose von Bakterien oder die Bereitstellung von Antikörpern zur Bekämpfung gefährlicher Viren. Darüber hinaus kommt es bei Entzündungen, Allergien, Einnahme bestimmter Medikamente oder Verabreichung von Röntgenstrahlen zu einer deutlichen Reaktion der Leukozyten.
Leukozytose (Vermehrung der Leukozyten)
tritt auf bei Verbrennungen, Angst, Entzündungen, Infektionen, Vergiftungen
Leukopenie (Verminderung der Leukozyten)
Vorkommen bei viralen Infektionen (z.B. EBV), Malaria, Anämien, Einnahme best. Medikamente
Agranulozytose (Fehlen der Granulozyten)
im Rahmen von Verabreichung von Röntgenstrahlen
Eosinophilie (Vermehrung der eosin. Granulozyten)
bei Infektionen (Würmer), Allergien, endokrinen Erkrankungen
Lymphozytose (Vermehrung der Lymphozyten)
bei viralen, bakteriellen Infektionen, bei lymphatischer Leukämie
Lymphopenie (Verminderung der Lymphozyten)
induziert durch Stress, Kortison, Cushing-Syndrom, Schwangerschaft

- Intakter Leukzyt

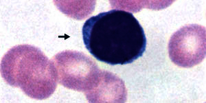
- Intakter Lymphozyt